CONTROLLI E MANTENIMENTO DELLA STABILITÀ DEI DENTI
Studio Martinengo Dr. Soana
opera a Savona con la massima professionalità, offrendo servizi completi nel settore odontoiatrico
Grazie alle collaborazioni con medici specialisti, lo studio garantisce la massima competenza in qualsiasi disciplina e la soluzione per ogni problema dentale, compresa la parodontite, una malattia infiammatoria che distrugge il supporto dei tessuti dei denti spesso causata da una scarsa igiene che permette ai batteri, alla placca e al tartaro di accumularsi. L'insorgenza è facilitata da predisposizioni genetiche.
La paradontite se trascurata può causare instabilità dei denti fino alla caduta degli stessi.
Per questo motivo lo Studio Martinengo Dr. Soana offre anche il servizio di parodontologia
che è in grado di risolvere il problema terapeuticamente e/o attraverso interventi chirurgici mirati.
Chirurgia parodontale
Se necessari si eseguono interventi chirurgici parodontali mirati a risolvere varie problematiche che si possono riscontrare in entrambe le arcate, quando le situazioni sono di una certa gravità.
Laser BIOLASE
In questo studio per la cura delle patologie del cavo orale viene utilizzata la tecnologia Laser che ottimizza i risultati trapeutici e migliora i comfort del paziente
Rigenerativa ossea
La chirurgia parodentale rigenerativa è una tecnica avanzata che mira a riparare i difetti ossei.
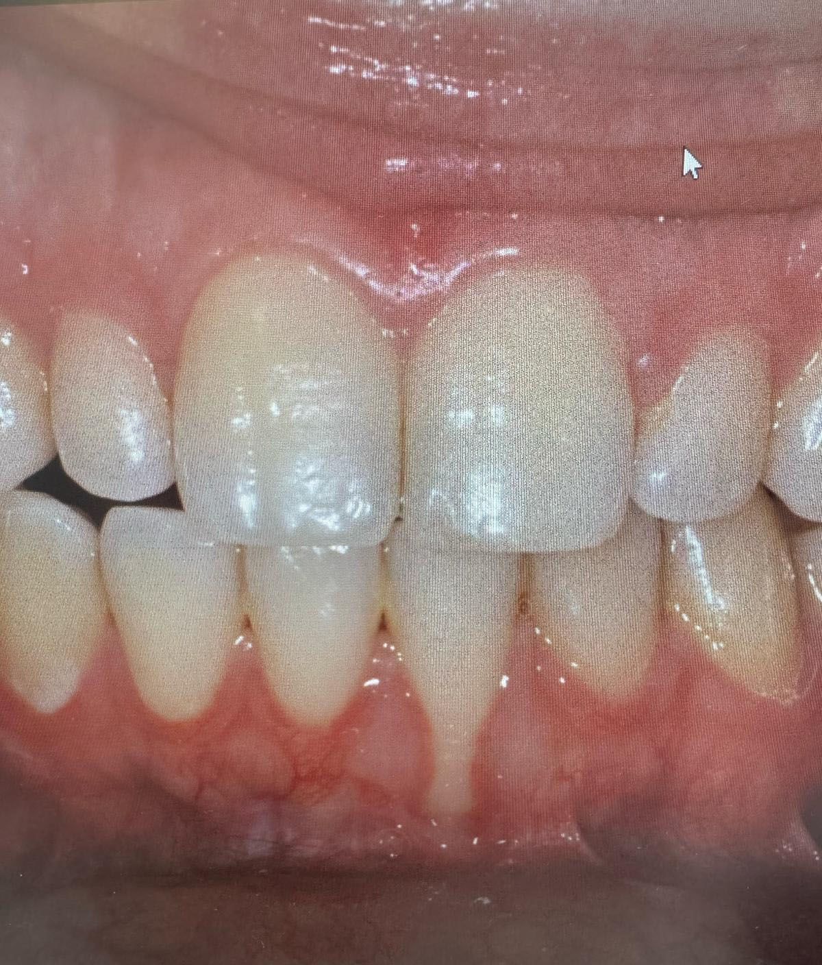
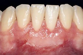
E' una procedura chirurgica che ha lo scopo di ricostruire (immagina 2) il volume osseo mancante e/o insufficiente (immagine 1), in alcune zone dell'osso alveolare dell'arcata dentale. Permette, dopo la rigenerativa dell'osso, di posizionare un impianto dentale (immagine 3) o di eliminare una tasca ossea adiacente ad un elemento dentale.








