VISITE ORTODONTICHE - PEDODONTICHEPER BAMBINI A SAVONA
La Dott.ssa Soana Martinengo si occupa di odontoiatria pediatrica detta pedodonzia,
offrendo servizi professionali ed operando sui bambini dai 6 ai 12 anni.
Lo Studio Martinengo Dr. Soana si
occupa della salute e dell'igiene dentale dei bambini e
della conservativa degli elementi dentali con visite di controllo generiche.
Inoltre dei problemi ortodontici dei bambini proponendo
visite ortodontiche per valutare lo sviluppo delle ossa mascellari superiore e inferiore e lo sviluppo delle arcate dentali.
Prenota una visita di controllo per te e il tuo bambino!
Per informazioni più dettagliate non esitare a contattare lo Studio Martinengo Dr. Soana a Savona.
Interventi di igiene nel bambino
Una corretta igiene orale e sane abitudini acquisite sin alla più tenerà età, sono il modo migliore per scongiurare patologie e problemi nel futuro.
Prendersi cura dei denti e della loro salute è qualcosa che deve essere insegnato ai bambini in modo armonico.
Non c'è niente di meglio, infatti, che imparare giocando.
Una delle cose che spesso si danno per scontato, ad esempio,
è l'uso corretto dello spazzolino da denti.
Pochi sanno che bisogna spazzolare dalla gengiva verso il dente,
seguendo movimenti verticali/rotatori.
Con estrema delicatezza bisogna pulire anche la lingua.
Il bambino dovrebbe imparare a giocare con lo spazzolino e Il filo interdentale possibilmente tutte le volte che mangia qualcosa, in modo tale da sentirne, crescendo, sempre la necessità.
Apprendere sin dalla tenera età le buone abitudini di igiene orale è
il modo migliore di prendersi cura di sé.
Anche cambiare spesso lo spazzolino, almeno ogni tre mesi,
aiuta a mantenere un sorriso sano!
Pedodonzia
E' la branca dell'odontoiatria che si occupa della cura dei denti
dei bambini quando sono cariati.
Curare i denti decidui cariati è indispensabile per mantenere
tutto lo spazio possibile per la permuta dei denti permanenti
che spesso sono più grossi che quelli da latte.
Curare bene i denti da latte vuol dire anche evitare, a volte, di far portare l'apparecchio ortodontico al bambino perché mantenendo lo spazio il dente permanente può erompere nel posto corretto.
Diminuiscono gli affolamenti dentali
Visite ortodontiche periodiche
Dai 4 anni di età in poi si consiglia di portare i bambini per visite di controllo orotodontico, che all'inizio saranno delle semplici occhiate per vedere che non ci siano dei problemi scheletrici da affrontare precocemente come nel caso delle terze classi ortodontiche
o di ipoplasia dei mascellari ecc
Il bambino prenderà confidenza con l'ambiente e
continuerà a venire serenamente.
Frequentemente, brevi interventi ortodontici, vengono iniziati
intorno ai 7 anni e l'età da non superare per effettuare una visita ortodontica sono i 9 anni di età
E' indispensabile per una valida analisi del caso ortodontico
avere in mano i modelli di studio la radiografia panoramica e la teleradiografia oltre naturalmente la presenza del bambino.
Si può così arrivare a impostare un piano di trattamento personalizzato
che seguirà lo sviluppo del bambino in face di crescita.
L'ortodonzia del bambino si divide in una fase ortopedica in cui
si migliora la situazione della forma delle arcate dentali
sfruttando le cartilagini presenti nei mascellari stessi e una parte ortodontica vera e propria con spostamento dei denti.
Ortodonzia dell'adulto
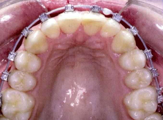
L'ortodonzia dell'adulto è solo ortodontica pura con solo spostamento dei denti, con sistema multi braket estetico trasparente oppure ortodonzia linguale, oppure con mascherine trasparenti (invisalign)
ORTONDOZIA DELL'ADULTO
Al giorno d'oggi sono molto richiesti i trattamenti ortodontici da adulti di qualsiasi età
che spesso non hanno allineato i denti in giovane età o per problemi famigliari o per la "paura del dentista".
Un bel sorriso aiuta ad avere subito un buon rapporto con un nuovo interlocutore,
può essere quel qualcosa in più a proprio favore, e può far sentire la persona più sicura.
Ci sono vari metodi ortodontici per riuscire a raggiungere un bel sorriso, dall'ortodonzia multi-brackets metallica o trasparente
alla tecnica linguale agli allineatori trasparenti, quest'ultimi nell'ultimo periodo vengono molto richiesti.
























